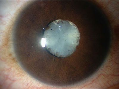
Какво представлява?
.jpg)
Видове:
Катарактата може да съществува по рождение - вродена катаракта, може да се появи и по - късно - придобита катаракта. Вродената катаракта е последица на аномалии в развитието на очната леща. Тя рядко се явява като наследствено увреждане. Най - често вродената катаракта е последица на боледуването на майката, най - вече през през първите три месеца на бременността от заразни и особено вирусни заболявания. Децата с вродена катаракта имат намаляване на зрението, когато лещата е помътнена, частично и пълна загуба на зрението, когато лещата изцяло е помътнена. Такива деца трябва да бъдат оперирани рано, за да може те интелектуално да се развиват нормално в бъдеще. Придобитата катаракта се явява при някои общи болести /захарна болест, удар в окото, лъчеви въздействия/. Това заболяване може да се появи и като усложнение на някои очни заболявания: възпалителни - иридоциклит, увеит, както и в някои случаи на миопия. Най - често срещаната катаракта е старческата. Тази форма се появява обикновено към 60 годишна възраст. Пациентите се оплакват от намаление на зрението на едното око, рядко и на двете очи едновременно. Намалението на зрението става постепенно, без болка.

